苑輝醫生,30年前畢業於白求恩醫科大學(現吉林大學白求恩醫學院),在公立三甲醫院從事過多年的口腔外科和口腔全科診療工作,在種植牙、牙齒矯正、牙齒美學修復、牙體牙髓治療等多方面都卓有成就。最近十年專注於疑難種植牙、全口種植牙、牙齒美學修復,獲得了副主任醫生職稱。

苑輝醫生擅長疑難種植牙、各種高難度的半口或者全口種植牙、牙齒美學修復,在30年的工作中積累了豐富的診療經驗,對種植牙以及牙齒美學修復都有自己獨到的見解和解決方案,將種植牙與牙齒美學修復兩者巧妙結合,他認為種植牙不能只考慮術後患者使用情況,還需要考慮患者牙齒的美觀情況,尤其是前牙缺失而進行種植修復。
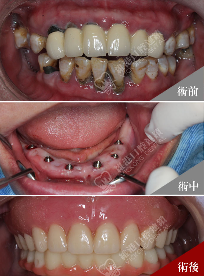
苑輝醫生案例:

針對中老人患者因為蛀牙以及牙周問題導致多顆甚至全口牙缺失的問題,苑輝醫生定期開展相關的沙龍和講座向大家科普牙齒保健知識,定期向來訪牙醫同行分享種植牙診療案例
苑輝醫生會根據患者的實際情況設計出針對性的修復方案,同時將各種方案的優缺點如實告知患者,讓患者知情理性決策,結合醫生意見選擇滿意的方案。
苑輝醫生堅持從患者自身利益提供種植牙及美學修復,堅持醫生執業操守,是市民信賴的好牙醫!
點擊「確定」,馬上聯係客服進行免費諮詢預約!
點擊「打開微信」進入微信,點右上⊕,粘貼ID,添加客服開始免費諮詢!
點擊「確定」,即可諮詢預約維港口腔,並申請免X-Ray費用,免問診金費用!