X
二維碼

維港口腔種牙優勢

  • 專科資質,專業放心

    維港口腔是領先獲得衛生部門核准的種植牙專科無菌手術室資質的牙科機構,專科專注植牙。

  • 高端設備,精準種植

    配備韓國進口4合1數字化 CT,精準定位植牙。配備國際知名種植系統,各型號植體與癒合基臺,滿足顧客不同需求的種植修復。

  • 醫協認證,專家團隊

    維港口腔種植牙專家醫生團隊,省市級三甲公立醫院多年牙科醫療經驗,獲得中國醫師協會種植牙定額認證學分,技術認證,專業嚴謹。

  • 專業修復,細緻認真

    植牙後配備資深美學修復技師,提供科學咬合關係設計,量身訂製高品質牙冠。條件適合的顧客,可實現種植牙即刻負重修復,即拔即種,無牙而來、有牙而歸。

種牙適應症

  • 單顆牙齒缺失

    單顆牙齒缺失

  • 多顆牙齒缺失

    多顆牙齒缺失

  • 半口牙齒缺失

    半口牙齒缺失

  • 全口牙齒缺失

    全口牙齒缺失

  • 意外折斷/脫落

    意外折斷/脫落

  • 牙齒鬆動

    牙齒鬆動

維港精選種牙品牌

美國皓聖

穩定可靠 性價比高

推薦指數:

1.高穩定性:皓聖種植體通過螺旋切割設計和SA表面處理技術,有效增強了與牙槽骨的結合力。

2.即拔即種:獨特的頭部設計使得皓聖種植體能夠滿足即拔即種的需求,縮短手術植入時間。

3.價格優勢:相比其他高端種植體,美國皓聖的價格相對合理,適合不同預算的患者。

韓國品牌種植牙

適合亞洲人 經濟實惠

推薦指數:

1.被廣泛使用,適合亞洲人體,價格適中

2.經典的柱形設計、表面處理方式,成功率高

3.近年亦開發出適合即刻種植的根形種植體

4.親骨相容技術,增強骨結合能力

韓國品牌親水版

鈣離子親水 親和穩固

推薦指數:

1.植體浸在氯化鈣溶液中,使用特殊的包裝方法更好地保存了其表面活性;

2.超親水性具有優異的血液濕潤性;

3.牙槽骨的生物成分主要是鈣(CA),親和鈣離子的植體有利於快速骨癒合,縮短了治療週期;

4.這款親水植體在韓國已經使用了十多年,是可靠且性價比高的種植體。

諾貝爾種植牙

高端品質 技術領先

推薦指數:

1.生物相容性好,具有很高的初期穩定性

2.微創手術模式,手術輕鬆,術後反應小

3.獨創的牙根形狀種植體系統

4.適合即刻種植,即刻負重

瑞士ITI

源自1980 信心之选

推薦指數:

1.簡單精准,使手術時間短,且更精准安全

2.微創可視:醫生和患者均可以事先看到精准的手術模型和種植效果

3.四級純鈦植體,安全係數高

4.三重穩固性設計,骨結合穩定

法國安卓健

高端品質 暢銷全球

推薦指數:

1.醫用四級鈦材料,降低了種植手術的侵入性

2.莫爾斯錐度連接,牙冠牙根越咬越緊密

3.BCP表面處理,確保初始穩固性

4.頸部的螺紋和噴砂處理,能盡量保留皮質骨

維港口腔承諾

終身質保 終身維護
維港口腔各類品牌的種植體提供終身質保服務,凡是維港口腔種牙顧客,可享受種植體終身質保。
種植體如出現質量問題,可免費更換同等植體。
種植牙術後複查,免費口腔CT檢查、免費護理和保養清潔。
種植牙出現塞牙等不適情況可隨時到院調整。
牙齒生理性移位後,免費調整咬合關係。

維港種牙專家

深圳種牙&深圳維港口腔

高利民 資深專家

擁有多年三甲公立醫院經驗,曾任職深圳市羅湖區衛生局牙病防治技術專家指導組成員,暨羅湖區慢性病防治院口腔科主任,積累了豐富...

擅長:全口種植牙、微創種植牙、多顆植牙、拔牙和牙科囊腫手...
深圳種牙&深圳維港口腔

李東營 資深專家

李東營主任1999年畢業於我國現代口腔醫學發源地的華西醫科大學—從業二十六年來,李主任先後在國家衛生部口腔科技種植中心、...

擅長:全口、半口種植牙、微創種植牙。
深圳種牙&深圳維港口腔

馬霄 特聘會診專家

國家重點大學武漢大學口腔醫學院口腔修復學博士畢業,擅長種植修復、前牙美學種植、咬合重建及CAD-CAM、複雜口腔修復。發...

擅長:全口種植牙、種植修復、前牙美學修復、咬合重建及CA...
深圳種牙&深圳維港口腔

陳何熙 資深專家

維港口腔福田皇崗院主仼,廣東省口腔醫院種牙認證醫生,畢業自廣州醫科大學。ICOI國際種植牙學會會員、iCAD國際華人牙醫...

擅長:微創種植牙、即刻種植牙、數字化種植牙、微創外科、多...
深圳種牙&深圳維港口腔

王軍 資深專家

從事口腔診療和種植工作二十多年,曾多次參加國內外口腔種植學科進修與學習,並獲得相關資格認證,針對口腔種植診療過程中的疑難...

擅長:微創種植牙、即刻種植、半口/全口种植修復、半口/全...
深圳種牙&深圳維港口腔

陳雲平 資深專家

畢業自中國著名的口腔院校蘭州大學,並取得本科及碩士研究生學位,曾在重慶醫科大學進修牙齒種植,曾擔任市口腔醫學質控專家組成...

擅長:全口無牙頜種植牙(All-on-4/6種植)、口腔...
深圳種牙&深圳維港口腔

廖展澎 資深專家

先後任北京大學深圳醫院口腔科微創植牙專家、市級醫院口腔科微創精準植牙專家、中山大學光華口腔醫學院附屬醫院口腔科植牙專科專...

擅長:微創數字化精準種植牙、半口全口數字化微創種植牙、即...
深圳種牙&深圳維港口腔

繆思亮 資深專家

繆醫生畢業於廣東醫科大學口腔醫學院,曾於同濟大學附屬口腔醫院工作學習,有10年以上種植牙經驗。多次受邀參加國內外牙科學術...

擅長:種植牙一萬顆以上,擅長即拔即種、前牙區美學種植修復...
深圳種牙&深圳維港口腔

沈浩宏 醫生

廣東話、潮汕話、普通話接診,口腔臨床經驗多年,多次參加OSSTEM AIC種植培訓,以及法國安卓健前牙美學種植高級班等種...

擅長:全口種植牙、半口种植牙、即刻負重修復,即拔即種,上...
深圳種牙&深圳維港口腔

張丹丹 醫生

張醫師專業基礎扎實,精通口腔科外科技術、數字化修復技術、美學樹脂充填及規範的杜牙根(根管治療)技術,擁有扎實的種植牙技術...

擅長:種植牙修復、高難度埋伏阻生智齒拔除、杜牙根(根管治...
深圳種牙&深圳維港口腔

梁芷瑩 醫生

畢業于我國現代口腔醫學發源地的華西醫科大學(2024QS世界大學學科排名中國內地第1名,全球第12名),并取得本科及碩士...

擅長:彎曲鈣化等復雜根管治療、二次根管治療、冠修復、牙周...
深圳種牙&深圳維港口腔

鄭麗麗 醫生

口腔臨床經驗多年,對待顧客非常耐心細緻,手法柔和,治療過程舒適化。擅長多顆、半口、全口及各類複雜情況種植牙,對於牙周病有...

擅長:微創數字化植牙、半口全口微創精準植牙及牙骨不足等各...

維港種牙收費

单颗種牙收費
項目 收費(元)
美国種植牙(烤瓷牙) 3398
美国種植牙(全瓷牙) 4129
韓國種植牙 5180
韓國(親水)種植牙 6580
法國安卓健種植牙 7990
Nobel PMC種植牙 9800
瑞士ITI BLT種植牙 9800
半口/全口種牙收費
項 目 收費(元)
All-ON-2(半口可拆式) 25800
All-ON-4(半口可拆式) 39800
All-ON-4(半口固定式) 51800
All-ON-6(半口固定式) 66800
ALL-ON-2(全口可拆式) 51600
ALL-ON-4(全口可拆式) 79600
ALL-ON-4(全口固定式) 103600
ALL-ON-6(全口固定式) 133600

*以上報價包括種植體、基臺、中高端牙冠、診療方案和手術費。

維港種牙合作品牌

種牙案例

  • 植牙 | 半口All-On-4諾貝爾種植
    *此資料為維港口腔內部素材,效果因人而異。
  • 植牙 | 全口登騰種植
    *此資料為維港口腔內部素材,效果因人而異。
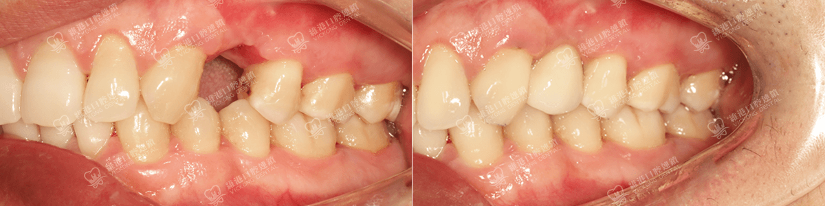
  • 植牙 | 單顆種植
    *此資料為維港口腔內部素材,效果因人而異。
  • 植牙 | 登騰多顆種植
    *此資料為維港口腔內部素材,效果因人而異。

熱門問答

  • Q種植牙時用的骨粉和骨膜是什麽?

    A:由於缺失牙時間過長,或者牙周病的患者,牙槽骨吸收過多,造成種植牙手術時候骨量不足,難以進行種植牙的手術,就要想辦法增加骨量,所以這時就需要用到骨粉和骨膜。

  • Q種植牙會和真牙一樣堅固耐用嗎?

    A:研究表明,許多種植牙實際上比真牙還要更穩固。種植牙的出現,缺牙患者終於可以去吃他們從前不敢吃的食物,享受美食生活的樂趣。

  • Q種植修復過程大約需要多長時間?

    A:這取決於種植體的類型以及上部修復體的類型,總的時間可以隻有幾個星期,也可能要幾個月。一般需要3〜6個月。如果需要植骨或結合其他治療,則還要更長的時間。醫生會和你講明。

電話:852 6847 2582

拎400蚊優惠券!
香港品牌 過關即到

電話聯係客服

點擊「確定」,馬上聯係客服進行免費諮詢預約!

WeChat ID已複製

點擊「打開微信」進入微信,點右上⊕,粘貼ID,添加客服開始免費諮詢!

WhatsApp客服諮詢

點擊「確定」,即可諮詢預約維港口腔,並申請免X-Ray費用,免問診金費用!