X
二維碼
  1. 首頁 > 牙科動態 >

根尖囊腫免費公益篩查,防止牙槽骨破壞和臉部畸形

發佈時間:2020-07-16

根尖囊腫是口腔頜面外科範疇的頜骨囊腫,屬於牙源性的頜骨囊腫,是慢性根尖周炎的一種慢性病變,由根尖肉芽腫或慢性牙槽膿腫發展導致。

根尖囊腫生長很慢,初期外在表現為牙齒顏色變化,由於患牙牙骺已壞死,牙體變色、呈深灰色、牙體無光澤。大多數的患者沒有自覺症狀,患牙叩診會有不適感,但是隨著囊腫變得越來越大,就會引起周圍骨質的吸收,臉部就會慢慢的出現畸形的狀態。囊腫大小可由豌豆大到雞蛋大,小囊腫不易發現,隨著囊腫增大才被發現。

維港口腔品牌機構匯聚知名口腔外科和牙周診療專家,為粵港澳及周邊市民提供免費根尖囊腫公益檢查,凡今年12月31日之前提前預約來診的顧客都可免費獲得院內專業檢查和權威診斷。患者提前預約,到診免收X光全景片檢查費、CT檢查費、醫生常規檢查與診斷費、健康檔案費,病例由主治職稱、副主任職稱級別以上的專家醫生主診。




 
 
根尖囊腫案例展示

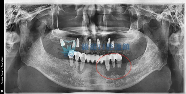
嚴重案例

 

頜面囊腫波及根尖


 
 
中重度案例


 

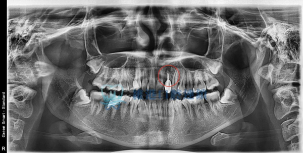
輕微案例

 

根尖囊腫如果不進行治療,囊腫的囊壁會繼續分泌囊液。根尖囊腫會不斷的擴大,囊腫擴大的影響有以下幾點:

1、破壞牙槽骨。隨著根尖囊腫的不斷擴大,對牙槽骨會壓迫。牙槽骨在受到壓迫以後會出現吸收,隨著囊腫的擴大,牙槽骨會不斷的被破壞。

2、牙槽骨破壞到一定程度,可能會損傷到鄰牙。囊腫不但在向頜骨方向破壞,也會向鄰牙方向破壞。破壞到一定程度,會損傷到鄰牙,甚至繼續擴大,擴大會影響到幾個牙的牙根。

3、可能影響周圍重要的解剖結構,比如鼻底、上頜竇和下牙槽神經管,都會引起相應的症狀。

根尖周囊腫的治療,分為保守治療和手術治療兩種方法:

1、保守治療

如果囊腫較小而且與根尖孔相通,則可以經過根管預備和消毒後,將藥物導入囊腫內,通過藥物對上皮細胞的變性和破壞作用,達到使囊腫消失的目的。如果藥物治療沒有明顯成效,則應改為手術治療。

2、手術治療

通過手術將囊腫壁完整清除,新生的骨質則逐漸長入囊腫所在部位,從而使病變癒合。

專業資深牙醫提醒廣大市民:每半年定期牙科檢查,發現牙齒疾病及時診療。

維港口腔品牌各門診長期致力於為市民提供高品質的專業齒科服務,持續用心做好讓市民放心與信賴的好牙醫!如果您有看牙的需求,歡迎聯絡我們
 

温馨提示: 牙科問題歡迎電話諮詢+852 6847 2582(香港)、+86 132 6696 2630(深圳),提前預約,報銷口岸至牙科車費30元内,避免排隊、免專家掛號費、享受牙科診療最新折扣優惠。
維港口腔,立足深圳羅湖、深圳福田、珠海,為粵港澳市民提供專業的牙科服務。
電話:852 6847 2582

拎400蚊優惠券!
香港品牌 過關即到

電話聯係客服

點擊「確定」,馬上聯係客服進行免費諮詢預約!

WeChat ID已複製

點擊「打開微信」進入微信,點右上⊕,粘貼ID,添加客服開始免費諮詢!

WhatsApp客服諮詢

點擊「確定」,即可諮詢預約維港口腔,並申請免X-Ray費用,免問診金費用!