如果牙齒存在排列不整齊、擁擠、牙間隙過大等牙列畸形,或者存在前牙突出、下頜後縮、“地包天”等骨骼畸形,患者都可到專業的口腔機構進行矯正。矯正沒有固定的年齡限制。一般青少年患者在牙齒全部替換完成後即可開始矯正,有骨骼畸形(如兜齒、“地包天”)的可能需要早期矯正。成年人若口腔健康狀況良好,隨時可以進行矯治。

經當日初診檢查後,醫生會向患者說明牙齒畸形情況,並告訴患者預期正畸治療情況、時間、費用等。
當患者經過初診篩查並決定進行矯正後,醫生將給患者做一系列檢查,以便制訂矯正計畫。首先,患者需要做乙肝表面抗原檢査,並拍全套牙齒x射線膠片。其次,主治醫生將為患者進行口腔檢査,取記存模型,照口內像、面像,保存患者的治療前資料。再次,主治醫生將與患者約定下次就診時間,與患者商談矯正計畫,在得到患者的同意後正式開始治療。這個階段需要1〜2周的時間。
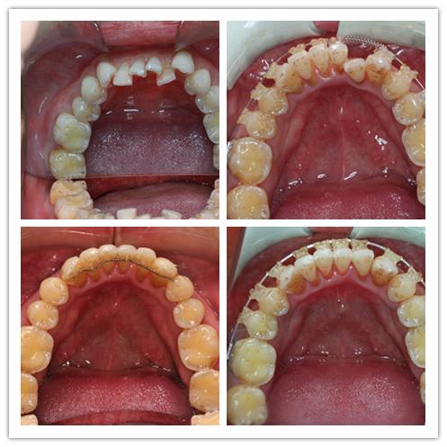
戴上牙套後矯正療程一般為2年左右,難度較大者療程會相應延長。開始矯正後,患者要按照醫生要求堅持一個月左右復診一次。若岀現矯正部件脫落,應及時與醫生聯繫。
正畸治療並不痛苦。患者會在初次戴用矯正器及每次復診加力後2〜3天內不適應,會感覺牙齒酸軟,咀嚼無力,此時不必服用鎮痛藥物。在矯正過程中,患者會出現牙齒生理性鬆動,以及牙齒咬合關係錯亂等。這些都是暫時現象,在矯正結束後牙齒情況將恢復正常。
推薦閱讀:
深圳植牙價目表
深圳箍牙價目表
深圳牙貼面價目表
深圳杜牙根價目表
點擊「確定」,馬上聯係客服進行免費諮詢預約!
點擊「打開微信」進入微信,點右上⊕,粘貼ID,添加客服開始免費諮詢!
點擊「確定」,即可諮詢預約維港口腔,並申請免X-Ray費用,免問診金費用!