有些人因為死髓牙影響美觀而找牙醫處理,這種情況很多時候會建議先做內漂白後再做個冠修復,那麼死髓牙該怎麼漂白呢?
深圳牙科醫生表示,死髓牙漂白一般有以下幾個步驟:
1、診斷和根管治療:用熱診和電活力測試評估牙髓活力;對於有根管治療史的患者,可
用根尖X線片來評估根尖周的狀態和根管治療是否完善。
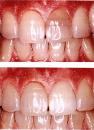
1、顏色評估:術前照相記錄漂白前的顏色,為漂白後顏色對比提供參考。
2、放置隔障:完成根管治療後,用低速球鑽、擴孔銼或加熱過的器械將牙膠尖及所有根管充填材料去除,達到釉牙本質界(CEJ)根方2mm的深度。確定髓角及洞型人口處乾淨,並去除任何殘留的壞死牙髓、根充材料和用於封閉根管的材料。隔障應為2mm厚,且與釉牙本質界的外形一致。因此,理想的形狀應是唇面觀像大雪橇隧道形:鄰面觀像滑雪道斜坡。玻璃離子水門汀、樹脂水門汀、暫時性的修復材料(IRM)、聚羧酸水門汀或磷酸鋅水門汀都能作為墊底材料。但是,最理想的材料應該可與牙本質粘接。為了方便使用,可用注射器和金屬針頭將光固化玻璃離子注人約2mm厚。
3、漂白材料的應用:將過硼酸鈉與過氧化氫或水混合成較稠的糊劑,用傳送器或銀汞輸送器將此混合物放置於髓腔。用一幹棉球對其進行擠壓,去除多餘的水分,並為暫封材料提供空間。

4、暫封材料封閉:為了嚴密封閉,暫封材料最小厚度應為 2mm。由於漂白材料會釋放O·,產生的壓力可能使暫封材料被頂脫。為防止此類情況發生,可以用玻璃離子作為暫封材料。6、顏色評估:3~5天後約患者復查,並與鄰牙顏色進行對比。如果漂白發生過快,可要求患者提早復查。視病因和變色程度的不同,漂白過程通常需重複3~5次,直到患牙顏色較稍亮時為止。這種“過漂白”可為患牙在顏色穩定後的顏色反彈提供一些補償。
7、最終複合樹脂充填:完成最後一次持續漂白後,最好再等待2周以上,以使顏色穩定、氧氣消散及恢復粘接力。髓腔可用棉球和暫封材料充填,2 周後約患者復診。此時可對髓腔進行酸蝕、前處理及粘固最終修復材料。若患者時間緊迫,也可用過氧化氫酶沖洗髓腔,或應用氫氧化鈣覆蓋髓腔2天,以取代2周的等候時間。
深圳內漂白多少錢一顆?維港口腔內漂白600元一顆,更多牙齒問題歡迎電話諮詢+852 68472582(香港)、+86 13266962630(深圳),提前預約,免排隊、免專家掛號費、享受牙科診療最新折扣優惠。
推薦閲讀:
點擊「確定」,馬上聯係客服進行免費諮詢預約!
點擊「打開微信」進入微信,點右上⊕,粘貼ID,添加客服開始免費諮詢!
點擊「確定」,即可諮詢預約維港口腔,並申請免X-Ray費用,免問診金費用!