X
二維碼
  1. 首頁 > 瓷牙套 > 補牙 >

深圳補牙,點解需要磨咁多再補?

發佈時間:2023-09-01

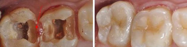
補牙為什麼需要磨那麼多再補?

有啲蛀牙雖然外表睇上去只係一個小黑點,但其實內部已經齲壞嚴重,齲洞中嘅腐質含有大量被感染嘅牙體組織,補牙前需要去除齲洞中嘅腐質。如果唔將腐質去除乾淨就直接補牙,一方面充填材料好容易脫落,另一方面腐質中嘅細菌會繼續侵蝕健康嘅牙體組織,導致齲壞程度進一步加深。

補牙需要製備成一定形狀嘅窩洞來進行修復,醫生會在儘量唔破壞正常牙體組織嘅情況下,將腐質同埋剩餘較薄弱嘅牙體組織清除修整乾淨,從而獲得穩固嘅地基。

深圳補牙嘅流程大致分為口腔檢查、窩洞製備、窩洞消毒、窩洞充填等,其中磨牙就係窩洞製備時嘅操作。

深圳補牙

大牙蛀牙,補牙用3M  Z250可以嗎?用邊種材料比較好?

       大牙經常會咬一啲比較硬嘅食物,咀嚼頻率高,補牙建議採用硬度比較高嘅材料。3M Z250硬度相對會比較低通常用來補前牙,唔適合補大牙,建議大家可以選擇同品牌嘅其他型號,譬如美國3M P60或者3M Z350。

      更多牙齒問題歡迎電話諮詢維港口腔+852 68472582(香港)、+86 13266962630(深圳),提前預約仲可享受免費面診,影CT服務,免掛號費。  

      

      推薦閲讀:  

      深圳牙科收費



温馨提示: 牙科問題歡迎電話諮詢+852 6847 2582(香港)、+86 132 6696 2630(深圳),提前預約,報銷口岸至牙科車費30元内,避免排隊、免專家掛號費、享受牙科診療最新折扣優惠。
維港口腔,立足深圳羅湖、深圳福田、珠海,為粵港澳市民提供專業的牙科服務。
電話:852 6847 2582

拎400蚊優惠券!
香港品牌 過關即到

電話聯係客服

點擊「確定」,馬上聯係客服進行免費諮詢預約!

WeChat ID已複製

點擊「打開微信」進入微信,點右上⊕,粘貼ID,添加客服開始免費諮詢!

WhatsApp客服諮詢

點擊「確定」,即可諮詢預約維港口腔,並申請免X-Ray費用,免問診金費用!