深圳做全瓷牙一隻要幾錢?
以深圳維港口腔為例,全瓷牙分唔同嘅品牌,國產愛爾創全瓷牙係1530元,德國威蘭德全瓷牙2500元,德國澤康全瓷牙3800元,美國lava全瓷牙4800元。唔同品牌主要區別係硬度,抗彎度,通透性,美觀度呢幾點。

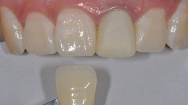
選擇全瓷牙不僅要考慮價格,還要關注醫生嘅技術和細致程度,因為呢非常關鍵。咁點樣判斷全瓷牙做得好唔好?
首先系顏色,要睇喺自然光下是否與鄰牙相似,睇起嚟是否自然逼真。
其次系形態同排列,要睇全瓷牙是否協調,並且整體睇起嚟是否一致。
第三系全瓷牙嘅邊緣位置,應該位於牙體和牙齦邊緣之間,並且深入齦0.5毫米左右,與周圍結合度良好。
最後系咀噍嘅舒適感,佩戴全瓷牙後,應該嘗試一般嘅咀噍動作,檢查牙齒喺咀噍時受力是否均勻,是否有酸脹感。如果以上方面都冇問題,咁全瓷牙嘅質量就可以接受。
全瓷牙做得好唔好同醫生有好大關係,同時個人都要配合好醫生,做完全瓷牙之後都要認真清潔維護,先可以使全瓷牙用得更長久。
更多牙齒問題歡迎諮詢+852 68472582(香港)、+86 13266962630(深圳),提前預約仲可享受免費面診,影CT服務,免掛號費。
推薦閲讀:
點擊「確定」,馬上聯係客服進行免費諮詢預約!
點擊「打開微信」進入微信,點右上⊕,粘貼ID,添加客服開始免費諮詢!
點擊「確定」,即可諮詢預約維港口腔,並申請免X-Ray費用,免問診金費用!