X
二維碼
  1. 首頁 > 種植牙 >

諾貝爾NobelActive——獨特的種植體和非凡美學效果

發佈時間:2020-01-07
      基于Per-Ingvar Brånemark教授的“骨结合”理论,諾貝爾種植體在口腔种植领域的创新之路已经拥有超过60年的历史。作为口腔种植领域的先行者,设计独特的NobelActive®种植系统于2008年上市。
1、獨特的種植體設計提供高初期穩定性和非凡美學效果
      NobelActive種植體是市面上獨特的種植體,不管是松質骨,拔牙窩還是美觀區,使用NobelActive都可以獲得高初期穩定性,這種特點使NobelActive對於特定適應症和手術方案是一個非常好的選擇,比如即刻種植和即刻負重。
2、加快骨結合

      NobelActive具有特有的TiUnite(鈦易耐)表面處理,可加快骨形成速率使在癒合期保持高穩定性,並確保長期的使用效果。
3、它的設計可以滿足生物及力學的需要,在某些病例中目前沒有其他種植體可以達到這些臨床要求
4、非常高效的種植體。即使在骨條件不好的情況下也可以提供非常高的初期穩定性。
 

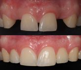
案例分享 - 諾貝爾種植體 前牙修復

概況:病人男,20歲,2顆上頜側切牙天生缺失。唇側凹陷且骨量缺失。
解決方案:植入兩顆NobelActive® NP 3.5 x 13 mm種植體並進行即刻修復,使用兩顆NobelProcera®氧化鋯冠進行最終修復。

咨詢諾貝爾種植牙,請聯絡維港歡樂口腔 
+852 68472582/+86 13266962630

温馨提示: 牙科問題歡迎電話諮詢+852 6847 2582(香港)、+86 132 6696 2630(深圳),提前預約,報銷口岸至牙科車費30元内,避免排隊、免專家掛號費、享受牙科診療最新折扣優惠。
維港口腔,立足深圳羅湖、深圳福田、珠海,為粵港澳市民提供專業的牙科服務。
電話:852 6847 2582

拎400蚊優惠券!
香港品牌 過關即到

電話聯係客服

點擊「確定」,馬上聯係客服進行免費諮詢預約!

WeChat ID已複製

點擊「打開微信」進入微信,點右上⊕,粘貼ID,添加客服開始免費諮詢!

WhatsApp客服諮詢

點擊「確定」,即可諮詢預約維港口腔,並申請免X-Ray費用,免問診金費用!