X
二維碼
  1. 首頁 > 種植牙 > 單顆種植 >

年輕人種植牙哪個品牌更好?

發佈時間:2019-08-29

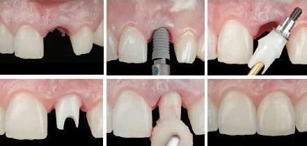
       在現代社會,好多年輕人由於飲食,生活習慣,口腔衛生清潔不當等造成缺牙,以前缺牙大家都會選擇假牙或烤瓷牙,但是這些壽命較短,咀嚼能力差,因此好多年輕人目前鐘意選擇種植牙修復,但是種植牙品牌五花八門,哪個系統更好?是越貴越好嗎?

       年輕人種植牙哪個品牌更好?

       市場上種植牙品牌五花八門,從整體上來看瑞士ITI Straumann,德國BEGO,意大利CLC,以色列Dentin,韓國Dentium這幾大品牌是目前被選擇且性價比較高的種植體品牌,前三個價格偏高,都在一萬起步,而後兩種比較經濟實惠,是經濟條件有限的人群可以選擇的品牌,大致在6-8千左右。但是並不是聽哪種好就選擇哪種,每個人的適應症和牙齒情況各不相同,需要看自身的情況。
 

牙齒缺牙種植牙
 

       那麼,如何簡單瞭解種植牙哪種好呢?

       首先從種植體上,種植體使用純鈦材料製作的生物相容性比鈦合金的更好一些,比如以色列丹特因就是純五級鈦,這是其優勢所在;再者種植體親水性表面比普通表面更好一些,因為這能夠使牙根和牙槽骨更快癒合,使結合後的穩定性更好;最後種植體的製作工藝和臨床成功率也是關鍵所在,一般國外由於種植體技術較成熟,已有一定的歷史基礎,種植體制作工藝上力求精細並提供多樣化設計,國外的大品牌種植體在臨床上的成功率都是很高,且配備相應的器械,更加有利於醫生的操作,保證植牙的效果。

       一個成功的種植體還需要合適的牙冠,牙冠可分為烤瓷牙和全瓷牙兩種,烤瓷牙內冠材料通常是金屬或者貴金屬,不透明,相對美觀度差一些,而全瓷牙內冠材料是純瓷做成,美觀逼真,生物相容性強,在燈光下也仿佛真牙一般。前牙的話可以選擇全瓷牙,更加美觀逼真,而後牙可以選擇烤瓷牙,經濟實惠。

       總之,每個品牌都是有一定的優勢存在,種植牙最重要是選擇專業的種植醫生,參考醫生給的專業意見,只要能適應種植體的需求,專業的種植技術都能幫你種出滿意的牙齒。維港歡樂口腔,專業的種植醫生,公立醫院專科植牙20多年,配備五大種植系統,多樣化滿足缺牙朋友的需求,以色列種植牙包烤瓷牙冠5999元。歡迎諮詢及預約請聯絡 +852 68472582/+86 13266962630


       其他文章推薦:
       意大利CLC種植體的優點和質量

       做種植牙有咩優點?


 

温馨提示: 牙科問題歡迎電話諮詢+852 6847 2582(香港)、+86 132 6696 2630(深圳),提前預約,報銷口岸至牙科車費30元内,避免排隊、免專家掛號費、享受牙科診療最新折扣優惠。
維港口腔,立足深圳羅湖、深圳福田、珠海,為粵港澳市民提供專業的牙科服務。
電話:852 6847 2582

拎400蚊優惠券!
香港品牌 過關即到

電話聯係客服

點擊「確定」,馬上聯係客服進行免費諮詢預約!

WeChat ID已複製

點擊「打開微信」進入微信,點右上⊕,粘貼ID,添加客服開始免費諮詢!

WhatsApp客服諮詢

點擊「確定」,即可諮詢預約維港口腔,並申請免X-Ray費用,免問診金費用!