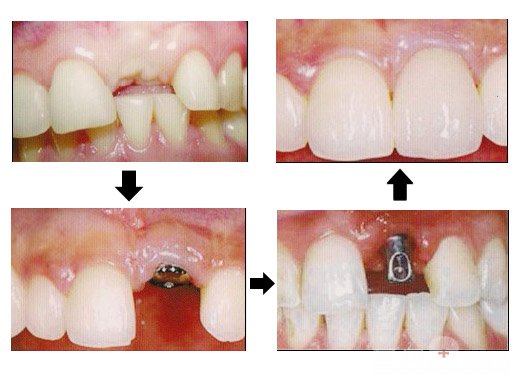
有些人對植牙的適應症不太瞭解,是缺牙就都可以植牙嗎?
深圳植牙牙醫表示,單從對缺失牙美學和功能的恢復來看,理論上只要是牙缺失就可以採用種植修復,儘管受到特殊解剖條件(如上頜竇底和下頜管的位置)的限制和骨缺失的影響,仍然可以通過特殊的種植外科和修復技術完成種植修復。考慮到頜骨發育因素,通常牙種植應在頜骨發育完成後進行,但是先天無牙頜或因外傷、腫瘤等因素造成頜骨大量缺損的患者,儘管沒有到發育完成的年齡,也可以提前種植修復,通過種植體向頜骨傳遞壓力,刺激頜骨功能性的發育。

所謂“種植修復的適應症”是一個狹義的概念,是指牙缺失後只能進行種植修復或種植修復優於其他修復方法的情況,通常包括:
1.無牙頜
2.單側或雙側游離缺失
3.單顆牙或多顆牙缺失.要求恢復牙周軟組織形態者
4.多數餘留牙鬆動,但斬時不考慮拔除
5.缺失牙較多,剩餘牙齒幾乎都伴有齲病
6.外傷及腫瘤造成的骨和牙聯合缺損
7.牙槽突裂
8.對活動義齒基托有粘膜超敏反應,如不適、噁心等症狀者
9.對義齒修復材料如:複合樹脂等過敏者
10.因肢體運動障礙等因素,活動義齒摘戴困難者
11.面癱患者
12.對活動義齒有恐懼心理的患者
所以是否適合植牙可以自測一下,但最重要還是要選擇專業的植牙牙醫來評估診斷。
深圳種植牙價錢根據不同的醫院和醫生收費有所不同,以維港口腔為例,韓國登騰種植牙5180元,法國安卓健種植牙8800元,瑞典諾貝爾種植牙11800元,公立三甲植牙專家親診,詳情歡迎咨詢預約。+852 68472582(香港)、+86 13266962630(深圳),提前預約,免排隊、免專家掛號費、享受牙科診療最新折扣優惠。
推薦閲讀:
點擊「確定」,馬上聯係客服進行免費諮詢預約!
點擊「打開微信」進入微信,點右上⊕,粘貼ID,添加客服開始免費諮詢!
點擊「確定」,即可諮詢預約維港口腔,並申請免X-Ray費用,免問診金費用!