「點解很多牙醫都推薦缺牙做種植牙?」深圳牙醫話你知。
許多人都很擔心種植牙嘅使用壽命。佢真嘅能像廣告宣傳嘅咁可以終身使用咩?醫生介紹,真牙一般都唔得終身使用,更唔使講種植牙製成嘅假牙了。臨床牙種植體嘅使用壽命系幾十年,但需要患者和醫生嘅共同勤力。
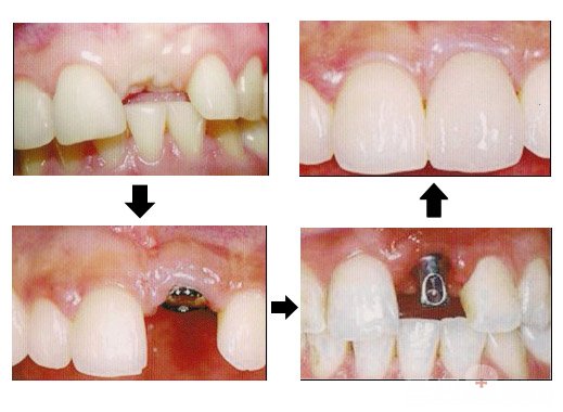
種植牙能用一輩子咩?
目前,種植牙成功率10年達90%以上,3年達95%,使用壽命40年以上,成功率高,使用時間長。因此,種植牙被稱為目前牙缺失修復嘅理想方式。然而,為了獲得理想嘅結果,醫生和患者需要積極合作。
1.提高種植牙嘅成功率:主要通過術前全面檢查,如X線、CT檢查,根據檢查結果評估牙槽骨嘅數量,選擇合適嘅種植方法和種植體,提高種植成功率。其次,具有豐富臨床經驗嘅牙醫需要掌握種植體嘅適應症。
此外,要嚴格掌握種植牙嘅適應症,如糖尿病、高血壓、骨質疏鬆等需要治療和控制嘅疾病,以確定系否可以進行種植,牙周炎、齲齒等口腔疾病需要提前治療。 2.患者嘅牙齒狀況和種植牙護理:盡管目前有很多種植牙可用,但性能良好嘅種植牙通常具有較高嘅成功率。
此外,仲有即刻種植牙和普通種植牙,需要根據牙齒狀況進行選擇。
種植牙後嘅護理,主要需要注意保持良好嘅口腔衛生習慣,定期到醫院檢查和護理,預防炎症,尤其系牙周炎。同時,注意飲食,唔好食過硬嘅嘢。

深圳植牙價錢——種植牙2023年嘅價格因為集採有所下降,韓系種植牙4K-6K,法國種植牙7K-9K,瑞典瑞士種植牙9K-1.5W不等,具體要睇醫院嘅規模、醫生技術、種植體品牌型號。以深圳維港口腔為例,韓系種植牙5180元,法國種植牙7990元,瑞典瑞士種植牙9800元包拍片檢查、種植體、基臺、全瓷牙冠、手術費、修復費等。
更多牙齒問題歡迎電話諮詢+852 68472582(香港)、+86 13266962630(深圳),提前預約仲可享受免費面診,影CT服務,免掛號費。
推薦閲讀:
點擊「確定」,馬上聯係客服進行免費諮詢預約!
點擊「打開微信」進入微信,點右上⊕,粘貼ID,添加客服開始免費諮詢!
點擊「確定」,即可諮詢預約維港口腔,並申請免X-Ray費用,免問診金費用!