很多人認為,上半口假牙容易往下掉,而下半口假牙“擱”在下面,不容易脫落。而事實恰恰相反,大部分患者反映,在全口假牙修復後下半口固位不如上半口,在咀嚼、說話、喝水等活動中均較上半口易脫落。分析其原因,與上、下頜弓的解剖外形及所處位置不同有較大關系。
人的上頜弓位於口腔上部,本身不能隨意活動,齶頂高且面積大,因而假牙基托的面積大,吸附力強,利於假牙固位。下頜弓呈馬蹄狀(由於舌占去較大口腔面積),其面積明顯小於上頜,而且說話、咀嚼時,舌的活動也是不利於下半口假牙固位的主要因素。另外,牙槽骨的吸收是順牙根方向進行的,長期不鑲牙容易造成下頜牙槽崎吸收後呈坡狀(向舌側傾斜,無固位形)或低平、窄小。周圍組織如唇、頰、舌及舌底軟組織鬆弛、活動度大,各肌肉收縮力量的大小、方向多不相同,初戴全口假牙患者由於不能很好地協調這些組織,造成下半口假牙較上半口假牙易脫位。如果取印模時準確度及吸附力不理想,制做出的假牙邊緣或過長、或過短,假牙組織面與黏膜之間不密合,影響邊緣封閉作用,導致大氣壓力、吸附力不能充分發揮作用等,也會影響下半口假牙的固位。

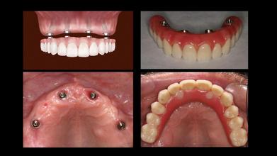
維港口腔提醒大家:在戴用全口假牙過程中如出現下半口假牙脫位嚴重,應及時到醫院復診。經醫生檢查確定屬假牙製作上的缺陷,如假牙邊緣長短不合適或假牙組織面密合度差,而造成脫位,修改後是能夠改善的。若因牙槽崎客觀條件過差,患者不適應等造成下半口假牙脫位,醫生應耐心解釋鼓勵其練習使用。隨著時間的推移,患者會逐漸掌握假牙的使用規律,使假牙的固位得到改善。如果患者年紀較輕,全身健康狀況良好、牙槽骨密度尚好時可考慮做種植牙修復。某些牙槽崎萎縮的患者,也可考慮做牙槽崎增高手術來解決全口假牙固位問題。
推薦閱讀:
深圳植牙價目表
如何使用和保養全口假牙?
點擊「確定」,馬上聯係客服進行免費諮詢預約!
點擊「打開微信」進入微信,點右上⊕,粘貼ID,添加客服開始免費諮詢!
點擊「確定」,即可諮詢預約維港口腔,並申請免X-Ray費用,免問診金費用!