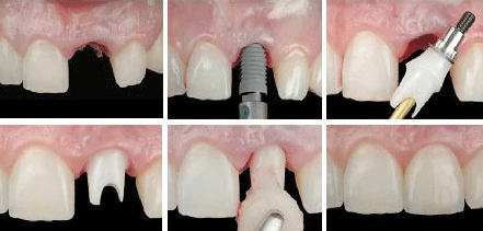
不少中老年人因為牙齒缺失多年需要做半口、全口種植牙。那麼在深圳做全口種植牙費用要多少?
深圳種植牙牙醫表示,全口種植牙是一種複雜的手術,需要經過全面的評估和詳細的手術計畫,費用因患者病情、醫院、醫生、種植體的數量和材料等因素而異。
一般來說,深圳全口種植牙的費用在5萬-20萬之間。其中,費用最高的是種植體的數量和種植體的材料。全口種植牙的費用還與醫生的技術和經驗有關。在深圳,一些口腔醫生擁有豐富的經驗和高水準的技術,他們的費用相對較高。但是,他們的治療效果更好,手術的風險也更小。因此,選擇口腔醫生時,除了考慮費用外,還應該考慮醫生的專業水準和經驗。

全口種植牙的費用包括手術費、種植體費、手術材料費、麻醉費、術後護理費等。在諮詢醫生時,應該詳細詢問費用構成和支付方式,避免因費用問題而影響手術效果。
總的來說,深圳全口種植牙的費用相對較高,但是它可以幫助患者恢復口腔功能和美觀度,提高生活品質。在選擇全口種植牙時,患者應該選擇正規的口腔醫院,選擇有經驗的醫生,避免選擇低價、不正規的醫院。同時,患者還應該瞭解全口種植牙的風險和注意事項,避免手術後出現併發症。
維港口腔全口種植牙All-ON-2(可拆式)51600元,All-ON-4(固定式)104000元,更多牙齒問題歡迎電話諮詢+852 68472582(香港)、+86 13266962630(深圳),提前預約,免排隊、免專家掛號費、享受牙科診療最新折扣優惠。
推薦閲讀:
點擊「確定」,馬上聯係客服進行免費諮詢預約!
點擊「打開微信」進入微信,點右上⊕,粘貼ID,添加客服開始免費諮詢!
點擊「確定」,即可諮詢預約維港口腔,並申請免X-Ray費用,免問診金費用!