一、咩係全口重建?
全口重建係為咗解決患者大範圍缺牙全口問題所做的全口嘅整體性治療。通常患者拖延治療或是自己日常生活習慣導致,造成全口多顆缺牙或口內腔狀況嚴重不良,呢個時候牙科醫生需要對患者嘅牙周病症狀、缺牙狀況、咬合情況等各項問題做一個詳細評估,提供全面嘅治療方案。
「All on 4全口重建」係一項可以快速解決全口多顆缺牙嘅植牙療程,最快可以喺一日內恢復患者咬合!

二、全口重建嘅常見治療方式比較
全口重建係專門為大範圍缺牙治療患者設計嘅,我哋會介紹2023年維港口腔植牙專科醫生建議嘅幾種方案,常見治療方案分為以下三大類型:
1、活動式假牙
一般預算有限或者係唔適合植牙手術嘅人,可以選擇活動式假牙,活動式假牙一開始戴起來會稍微有異物感,需要一段時間先可以適應牙齦的壓迫感。
隨著技術與材料的進步,新型的BPS全口活動假牙運用類真空的效果,讓假牙不易脫落,不僅在配戴上更穩固、也能讓患者重拾吃美食的幸福感,擁有更好的生活品質。改良式的BPS活動假牙,因為材質不易變形,穩定性更高。

2、植體+活動式假牙
由2~4顆植體支撐嘅活動假牙,又稱作固定式活動假牙。固定式活動假牙比起活動式假牙,提升咗穩定度和咀嚼力,吃嘢時假牙幾乎唔會動搖。
如果喜歡假牙可以摘下來清潔保養嘅人,可以選擇呢種方案。呢種重建方式嘅優勢係價格彈性,提供了大部分的人都可以負擔的預算,但是,如果比較年輕嘅患者,可能需要考量長期下來,骨頭同牙床會持續萎縮嘅問題。
固定式活動假牙,需要經常拿下來清潔,讓牙齦恢復彈性。
3、植體固定式假牙——All on 4全口重建/all-on-6全口重建
All on 4/all-on-6全口重建係針對骨骼嚴重萎縮、而且需要快速恢復牙齒的人而設計嘅。同傳統植牙相比,最明顯嘅優勢就係速度,若口腔條件允許,最快可以在一日之內完成全口植牙與假牙,唔需要好似傳統植牙一次等待3~6個月以上嘅治療週期。
All on 4/all-on-6全口重建只需要四顆或者六顆植牙,可以大幅縮短手術時間、節省植體費用。

無論是固定式假牙All on 4、All on 6,使用單顎4支/6支植體做為人工牙根,固定於牙床上,藉由拱橋力學設計原理,平均分散植體力量去支撐整排假牙。因此,固定式植牙最接近自然牙的假牙形式,唔單單穩定性高、咬合力佳,亦沒有活動式假牙的異物感。
配合一日全口重建療程,當日手術後,裝上臨時假牙,即可有牙恢復咬合力。
三、固定式假牙全口重建流程
上述可以得知,當病患已經是嚴重缺牙口腔狀況,選擇固定式假牙會是最優療程方案。無論是All on 4或是all-on-6,全口重建治療流程都大同小異,接下來,我們用最常見的「一日全口重建All on 4」為例。
Step1:拍X-Ray和CT,術前評估身體狀況與治療
由於全口重建涵蓋許多不同的齒科項目,除了先為病患照全口X光,還需對全方位瞭解,比如瞭解病患慢性疾病、服抗凝血藥物、進行過放射線治療等,患者是否有冠心病、糖尿病、高血壓等。
Step2:專業醫生檢查與評估
患者如果有牙周病等其他牙科疾病,需要在手術前先處理好牙周問題,如果唔處理會影響到術後嘅穩定度,造成假牙或植牙的使用效期縮短。
Step3:進行種植牙一期手術
此步驟係整個全口重建嘅關鍵性流程,將All on 4植體植入齒槽骨中即完成手術。患者種植牙手術後,當天或者其他時間配戴臨時假牙,休息幾個鐘頭後開始進食。建議手術剛完成,傷口仲未拆線時,先飲用流質與較軟嘅食物。
Step4:修復配戴假牙
裝戴臨時假牙裝須定期回診,直到植體與牙槽骨密切結合後,即可假牙的印模和配戴,這階段完成就係代表全口重建嘅療程結束,後續交由病患日常維護。
Step5:術後照護
術後日常的照護,以及回診是非常重要的事情,病患必須約6個月定期回診。一旦發現牙齒有異狀,務必儘快透過全天候線上客服約診,讓醫生檢查。
四、全口重建、全口植牙價目表
深圳維港口腔制定全口重建係有標準價目表嘅,費用主要分為「材料費用」同「醫生手術費用」二大部分。
唔同材料、唔同植體品牌,價錢係唔同嘅,分別在於品牌知名度、成立長久、植體設計、保固等,患者可以依照自身條件、醫生評估、經濟條件等考量,最緊要係挑選一位專業、負責嘅好醫生,並非所有人都需要選用比較貴嘅品牌。
維港口腔半口種植牙價目表如下,全口價錢即係半口種植牙多一倍價錢。

五、全口重建嘅注意事項
1、植入種植體階段
種牙一期手術之後,要使用正確嘅刷牙方法,保持良好嘅口腔衛生,呢樣就可以預防種植體周圍炎嘅發生。刷牙時重點將種植牙接近牙齦部分刷幹凈係維護種植牙健康持久嘅保證。
2、愈合、鑲牙套階段
A、要記得保持好嘅飲食習慣。種植牙修復完成後,讓植入嘅種植牙有一個漸進嘅負重過程,修復後前三個月進軟食,三個月後正常進食。種植牙當天就可正常使用,但要避免食過硬或過粘嘅食物,如核桃、年糕等,建議食流食。以免因種植牙負荷過大而影響種植牙嘅長期使用。
B、要避免受外力撞擊傷害。如果出現松動或種植牙部位出現疼痛等唔適,應盡早到醫院復查,讓牙醫詳細檢查。
C、種植後定期復診。種植牙完成後需要進行定期復查。
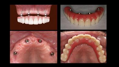
六、All on 4全口重建成果展示

點擊「確定」,馬上聯係客服進行免費諮詢預約!
點擊「打開微信」進入微信,點右上⊕,粘貼ID,添加客服開始免費諮詢!
點擊「確定」,即可諮詢預約維港口腔,並申請免X-Ray費用,免問診金費用!