我啲係揀全口種牙方案時,價錢只係考慮嘅因素之一,除此外醫生嘅技術水準、醫院嘅服務質量、術後保障、以及自己嘅口腔情況都係非常重要。
1. 醫生嘅技術同經驗:全口種牙手術非常複雜,需要經驗豐富嘅口腔種植醫生同修復醫生嘅配合。
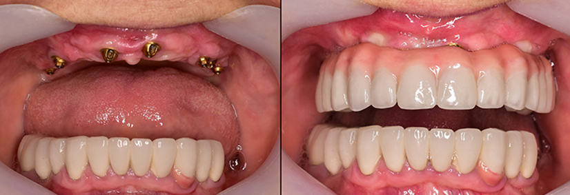
2. 顧客嘅個人情況:顧客口腔內係否有牙周炎、骨質疏鬆等問題,以及剩餘牙槽骨嘅高度同密度,呢啲都會影響種植牙方案揀同結果。
3. 種植方案嘅揀:特定嘅全口種植方案,Allon 4定係Allon 6,呢種計畫都有自己嘅適用範圍同優勢,顧客需要根據自己嘅口腔骨狀況同經濟能力揀合適嘅方案。

4. 價格同成本效益:雖然韓國種植牙嘅價格相對來說比較實惠,但仲係有必要對唔同口腔醫院/牙科嘅報價及包含嘅服務進行比較,比如係否需要手術費、麻醉費、牙冠修復費等,並考慮提前瞭解術後維護同保障服務。
5. 術後服務同保證:揀能提供全面嘅術後護理指導同長期隨訪服務嘅牙科醫院,確保種植牙術後能得到妥善嘅維護同及時嘅復查。
顧客應係充分瞭解自身需求同口腔情況嘅基礎上,結合醫生嘅建議,揀適合自己嘅全口種植方案。
更多牙齒問題歡迎諮詢+852 68472582(香港)、+86 13266962630(深圳),提前預約仲可享受免費面診,影CT服務,免掛號費。
推薦閲讀:
點擊「確定」,馬上聯係客服進行免費諮詢預約!
點擊「打開微信」進入微信,點右上⊕,粘貼ID,添加客服開始免費諮詢!
點擊「確定」,即可諮詢預約維港口腔,並申請免X-Ray費用,免問診金費用!