「成年人乳牙滯留需要脫牙嗎?」深圳牙醫為大家科普,以下系治療建議:
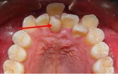
1. 先檢查呢個位置嘅恒牙萌出冇,如果萌出,就掹掉滯留嘅乳牙。
2. 如果冇萌出,就拍x線片檢查,呢個位置有冇恒牙,如果有恆牙,形態正常,可以牽引輔助萌出,就掹掉滯留嘅乳牙。
3. 如果冇萌出嘅恒牙,形態畸形,或阻生位置深,唔得牽引輔助萌出,或根本就缺失恒牙,而且,乳牙牙根冇吸收,就保留乳牙。
4. 如果恒牙難以萌出,或形態畸形,或根本就缺失恒牙,而且乳牙牙根吸收,就掹掉乳牙,做種植牙或牙冠修復。

如果乳牙滯留需要脫牙之後,深圳植牙要幾錢咧?
深圳種植牙2023,韓系種植牙4K-6K,法國種植牙7K-9K,瑞典瑞士種植牙9K-1.5W不等,具體要睇醫院嘅規模、醫生技術、種植體品牌型號。以深圳維港口腔為例,韓系種植牙5180元,法國種植牙7990元,瑞典瑞士種植牙9800元包拍片檢查、種植體、基臺、全瓷牙冠、手術費、修復費等。
更多牙齒問題歡迎電話諮詢+852 68472582(香港)、+86 13266962630(深圳),提前預約仲可享受免費面診,影CT服務,免掛號費。
推薦閲讀:
點擊「確定」,馬上聯係客服進行免費諮詢預約!
點擊「打開微信」進入微信,點右上⊕,粘貼ID,添加客服開始免費諮詢!
點擊「確定」,即可諮詢預約維港口腔,並申請免X-Ray費用,免問診金費用!