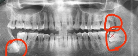
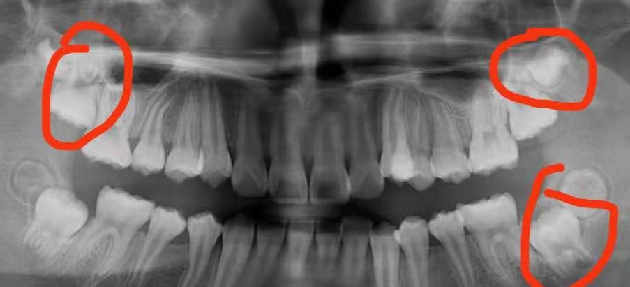
①智慧齒威脅鄰牙:當智慧齒威脅到鄰牙的時候,智慧齒阻生或者生長空間有限,此時應該考慮拔除智慧齒。否則長此以往,鄰牙可能被擠歪頂壞,出現一系列後遺症。因此此時智慧齒應該考慮拔除。

②智慧齒導致炎症複發:智慧齒導致炎症反複複發,此時難以根除,可以考慮拔除。
③智慧齒導致食物填塞:如果智慧齒導致鄰牙食物填塞,極其容易導致鄰牙側面蛀牙,並且蛀牙情況難於杜絕,此時考慮拔除。

④智慧齒埋伏生長:當智慧齒完全不能生長出來,此時可以考慮拔除。
拔智慧齒有風險,請到附近正規口腔醫院診所就診。
點擊「確定」,馬上聯係客服進行免費諮詢預約!
點擊「打開微信」進入微信,點右上⊕,粘貼ID,添加客服開始免費諮詢!
點擊「確定」,即可諮詢預約維港口腔,並申請免X-Ray費用,免問診金費用!