「牙齒折斷需要點樣處理呢?」深圳牙醫給大家科普。
牙齒折斷要睇具體嘅情況,唔同嘅情況處理方式係唔同嘅。
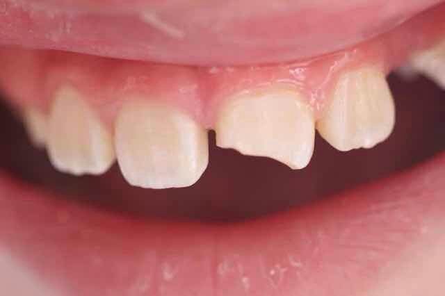
1.冠折牙冠輕微折損而無刺激症狀,可唔作特殊處理。如折緣尖銳,應磨至圓鈍。如牙髓有明顯嘅刺激症狀,並影響形態和功能,應視其情況作牙冠修復。如冠折已著通牙髓,應盡早進行牙髓或根管治療,再進行牙冠修復。
2.根折近牙頸部嘅根折,應盡快進行根管治療後,行樁冠修復;根中部嘅拗應掹除;根尖1/3拗、牙松動,應及時作結扎固定,並作根管治療。

3.冠根聯合牙折冠根聯合斜折者,如有條件可行牙髓或根管治療,然後用金屬牙冠恢復功能。
4.乳牙損傷對乳牙損傷嘅處理有其特殊性。乳牙嘅保留對恆牙萌出和頜面部嘅發育有重要作用,因此,應視具體情況盡量設法保留受傷嘅乳牙。對於4歲以上嘅患兒,應作缺隙保持器,以防止鄰牙向近中郁致恆牙萌出障礙或錯位。
所以如果牙齒有出現折斷嘅情況,一定要盡早去醫院拍片檢查,盡早治療。
深圳牙科推介——維港口腔,粵港老字號牙科,粵港澳大灣區好評榜樣牙科,碩博團隊專業診療,技術認證,專業嚴謹,收費公開透明,已幫助眾多粵港澳市民恢復口腔健康,廣受顧客的好評!
更多牙齒問題歡迎電話諮詢+852 68472582(香港)、+86 13266962630(深圳),提前預約,免排隊、免專家掛號費、享受牙科診療最新折扣優惠。
推薦閲讀:
點擊「確定」,馬上聯係客服進行免費諮詢預約!
點擊「打開微信」進入微信,點右上⊕,粘貼ID,添加客服開始免費諮詢!
點擊「確定」,即可諮詢預約維港口腔,並申請免X-Ray費用,免問診金費用!